중족골통, 원인 및 증상과 치료
- 식품, 효능, 건강
- 2022. 9. 26.
중족골은 발가락의 지골과 족근골 사이에 있는 중간 뼈로, 발끝 쪽과 바닥에 지방층이 있는데 여기에 염증이 생겨서 통증이 생기는 것을 중족골 통이라고 합니다. 중족골 통은 아침에 첫발을 디딜 때 발 뒤꿈치 쪽이 아픈 족저근막염과 달리 발바닥 앞쪽에 통증이 발생하며, 오랫동안 앉았다 일어날 때 통증이 느껴지기도 합니다. 또한 격렬한 운동과 맞지 않는 신발, 체중 등으로 발등뼈에 부적절한 부하를 받았을 때 생기는 통증이 중족골 통입니다.

중족골통 원인 및 증상
중족골통은 발등뼈인 중족골에 압력이 가해지면서 통증을 일으키는 것으로, 흔히 두 번째 중족 골도에 생기는 경우가 많습니다. 특히 보통 사람보다 두 번째 발등뼈가 긴 사람은 압력을 많이 받아서 생기기도 하지만, 발등뼈가 짧은 경우에도 굽이 높은 신발을 신을 때에 쉽게 발생할 수 있습니다. 또한, 무지외반증으로 인해 엄지발가락이 옆으로 휘면서 두 번째 중족골두에 하중을 많이 받으면서 통증이 생길 수도 있습니다.

중족골통 원인
중족골통은 발바닥 통증과 염증을 특징으로 하는 흔한 발 질환으로 누구에게나 발생할 수 있지만 달리기와 점프를 자주 해야 하는 운동선수나 발 문제가 있는 사람들에게 쉽게 발생할 수 있습니다. 또한, 중족골통은 다양한 생활 습관과 과도한 사용뿐만 아니라, 과도한 체중은 중족골에 압력과 스트레스를 유발해 발생하기 때문에 질병이라기보다는 증상으로, 다른 질환과는 달리 통증이 진단명이기도 합니다.
중족골통이 생기는 원인으로는 중족골에 지속해서 충격을 가하는 운동이나, 너무 꽉 끼거나 헐렁한 신발, 굽이 높은 하이힐과 같은 신발을 착용하는 경우, 발기형이나 짧은 아킬레스건 힘줄, 무지외반증, 관절염, 발바닥 살의 위축 등으로 생기기도 하지만, 오래 서 있거나, 걷고, 달릴 때 체중을 지탱하기 때문에 중족골에 하중이 가해져 염증이 생기고 통증이 발생할 수 있습니다.
중족골통 증상
중족골통의 일반적인 증상은 발 앞쪽 발바닥 발등뼈 지방 패드의 말단부의 통증으로 나타나지만, 중족골두의 표면을 가로질러 확장되기도 하며, 보통 한쪽 발에 나타나지만, 양쪽 발에 영향을 미칠 수 있습니다. 통증은 일반적으로 운동 중, 특히 발이 몸을 앞으로 나아가게 하려고 지면을 밀 때와 중간 단계에서 더 심해집니다. 반대로, 휴식을 취하고 발에 상당한 스트레스를 주는 활동을 피하면 크게 개선되는 경향이 있습니다.

중족골통은 주로 발 앞쪽이나 발바닥 앞쪽에 통증을 보이는데, 대부분 엄지발가락이나 새끼발가락보다는, 두 번째, 세 번째 발가락 종족 골에 자주 발생합니다. 종족골통이 생기면, 해당 부위에서 타는듯하고 화끈거리는 통증이 느껴지는데, 발바닥 앞쪽에 굳은살이 생기기도 하며, 맨발로 걸을 때면 통증이 더 심해지거나, 아침에 일어나서 첫발을 디딜 때 발바닥 앞쪽이 아프고 부어오르는 증상, 발등뼈 부위에 타는듯한 화끈거림 등을 보이게 됩니다.
중족골 정리
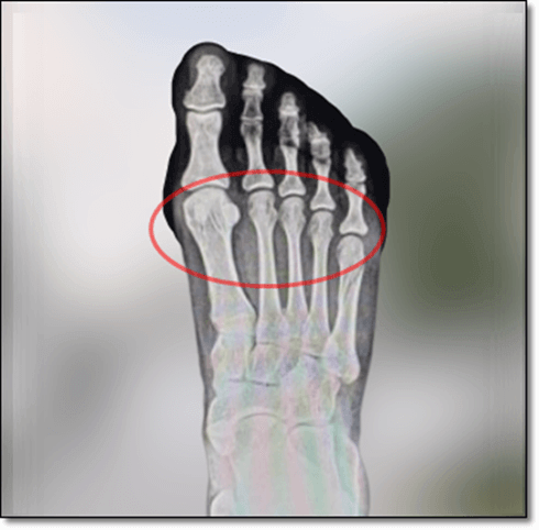
중족골은 발목뼈와 발가락을 연결하는 다섯 개의 긴 뼈를 말하는 것으로 발바닥의 아치와 발가락 사이에 위치합니다. 또한, 중족골통은 발가락의 기저부인 중족골에서 통증을 유발하는 염증이 생겨서 자주 달리거나 점프하는 사람, 앞부분이 좁은 신발을 신는 사람, 발이 변형된 사람에게 흔하게 발생합니다. 중족골통은 심각한 질환은 아니지만 걸을 때 발생하는 통증 때문에 일상생활에 많은 불편함을 주기도 합니다.
중족골통 치료
중족골통은 일반적으로 심각한 질환은 아니지만, 이동성에 영향을 미치고 삶의 질에 영향을 줄 수 있습니다. 다행히 중족골통은 치료에 잘 반응하기 때문에 중족골에 통증이나 염증의 증상이 나타나면 휴식을 취하고 발을 높이 올리고 자는 것도 도움이 됩니다. 또한, 쿠션감이 좋은 신발, 신발 깔창, 중족골 패드도 도움이 되며 자주 발을 스트레칭하고 적당한 운동을 해야 하며, 물리치료나 마사지 요법도 효과가 있습니다.

중족골통이 생기면 중족골에 무리가 가지 않도록 생활 습관을 고쳐가야 하며, 통증이 심할 때는 족욕이나 냉찜질을 하는 것도 도움이 됩니다. 또한, 소염진통제가 도움이 될 수 있으며, 과도한 체중은 중족골에 영향을 미칠 수 있으므로 적당한 체중을 유지하는 것이 좋습니다. 또한, 보존적 조치로 통증이 완화되지 않거나, 중족골이 길거나 망치 발가락과 같은 다른 증상과 동반되는 경우에는 중족골 뼈를 재 정렬하는 수술이 필요할 수 있습니다.
'식품, 효능, 건강' 카테고리의 다른 글
| 산세베리아 효능 및 기르는 법과 물주기, 주의점 (0) | 2022.09.29 |
|---|---|
| 홍미 쌀 효능 및 영양 성분 먹는 법과 주의점 (0) | 2022.09.27 |
| 까마중 효능 및 활성물질 먹는 법과 섭취량, 주의점 (0) | 2022.09.24 |
| 양상추 효능 및 영양 성분, 먹는 법과 주의점 (0) | 2022.09.22 |
| 그라비올라(Graviola) 잎 효능 및 활성 성분 먹는 법과 주의점 (0) | 2022.09.21 |